新着情報
正しい根管充填後の写真です!!
ここで 皆さま お勉強です!!!
よく見て覚えておいてください!!
ケースは 右上第二小臼歯・第一大臼歯の
抜髄・根管治療・根管充填の治療
そのレントゲンをお見せします。
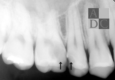
≪初診時≫
矢印の部分の虫歯が痛く 抜髄処置(神経を取る治療)となりました。
ここまで来るには かなりの年月が必要になってきます。
歯の違和感や ちょっとした痛みでも 歯医者への受診は早めに!!!!
≪第一小臼歯根管充填時≫
まず、単根管の小臼歯の根管充填写真です。
根尖まで 白い根管充填材が
満たしているのが確認できます。
≪第一大臼歯根管充填時≫
3本根管のある大臼歯の根尖まで 白い根管充填材が
満たしているのが確認できます。
この後 心棒を建て 歯が割れないように冠を被せていきます。
根の治療は、最初に神経を取った先生 根管充填をした先生によって
運命は決まってしまいます。
是非、レントゲンを説明してもらい 確認してみてください。
ご自身の体 歯です。
他人任せは 絶対だめです。
自分の体は 自分で守りましょう。
